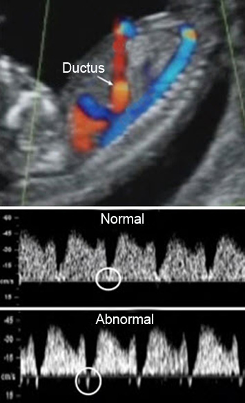
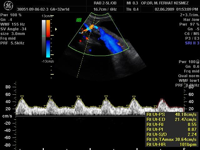
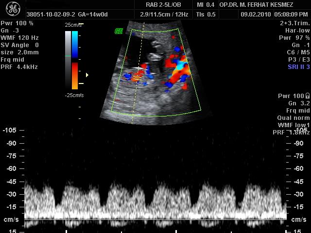
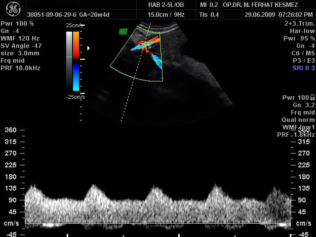
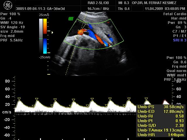
Ultrason Ölçümleri